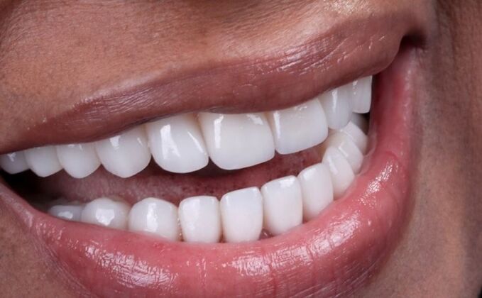
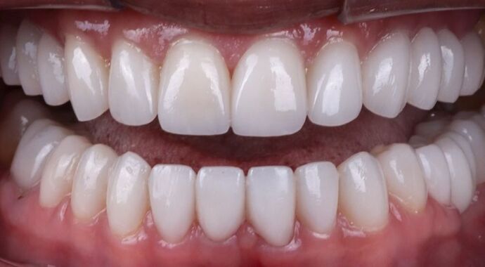
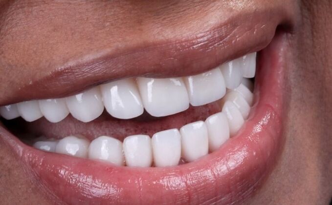
Smile Makeover & Veneers: Bernice
Description
Numerous areas needing to be addressed as well as improving cosmetics. Full mouth crowns and veneers achieved this amazing result
Numerous areas needing to be addressed as well as improving cosmetics. Full mouth crowns and veneers achieved this amazing result
