Smile Makeover & Veneers: Case 19
Description
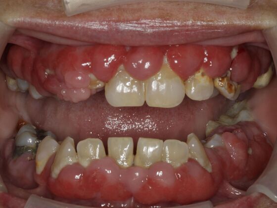
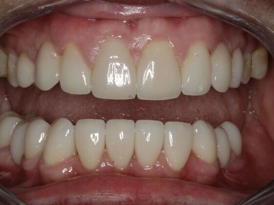
This may be one of the most difficult, yet rewarding cases I have ever done. A combination of meds for seizures and poor oral hygiene led to this painful, infected condition. She would not smile, talk to people, and was embarrassed. We thoroughly cleaned her teeth and performed laser, NON-surgical recontouring of her gums, removed several teeth and placed crowns, bridges and veneers to reach this end product. An amazing transformation that truly changed her life.


