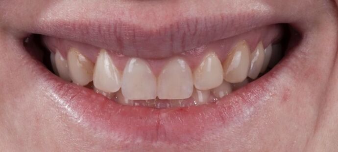
6 upper porcelain veneers with gum reshaping
Related to This
11730 Plaza America Dr Ste 110 Reston, VA 20190
Loading hours...
Open Friday by Appointment Only
Rate, Review & Explore
About
Cosmetic
General
(703) 925-0800