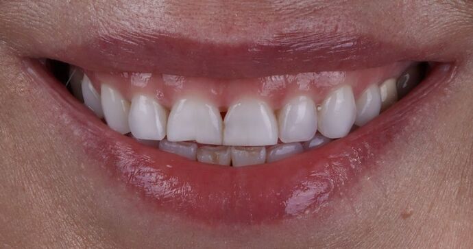
12 upper 12 lower full mouth veneers due to excessive tooth wear
Related to This
11730 Plaza America Dr Ste 110 Reston, VA 20190
Loading hours...
Open Friday by Appointment Only
Rate, Review & Explore
About
Cosmetic
General
(703) 925-0800